
Răng sứ ngày càng trở thành sự lựa chọn phổ biến trong việc phục hình răng miệng, đặc biệt là với những người muốn có

Răng sứ ngày càng trở thành sự lựa chọn phổ biến trong việc phục hình răng miệng, đặc biệt là với những người muốn có

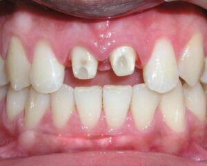
Bọc răng sứ là một giải pháp phục hình răng miệng phổ biến, giúp cải thiện thẩm mỹ và chức năng răng miệng. Tuy nhiên,

Bọc răng sứ là một phương pháp phục hình răng miệng ngày càng được nhiều người ưa chuộng vì khả năng cải thiện thẩm mỹ

Răng sứ và răng thật đều có vai trò quan trọng trong việc duy trì sức khỏe răng miệng và giúp bạn có một nụ

Bọc răng sứ là một phương pháp nha khoa phổ biến nhằm cải thiện thẩm mỹ và khôi phục chức năng của răng. Quy trình

Bọc răng sứ thẩm mỹ là một phương pháp nha khoa được sử dụng để cải thiện hình dáng và màu sắc của răng miệng.

Răng cửa đóng một vai trò cực kỳ quan trọng trong nụ cười và thẩm mỹ tổng thể của khuôn mặt. Việc mất răng cửa

Tẩy trắng răng là một phương pháp làm đẹp phổ biến giúp mang lại một nụ cười sáng bóng và tự tin hơn. Nhiều người

Niềng răng là một phương pháp nha khoa phổ biến và hiệu quả giúp điều chỉnh các vấn đề về khớp cắn và hình dáng

Việc chăm sóc răng miệng không chỉ giúp bảo vệ sức khỏe tổng thể mà còn đảm bảo vẻ đẹp thẩm mỹ cho khuôn mặt.
Trung tâm Nha khoa 3T tự hào là đơn vị đi đầu trong lĩnh vực nha khoa thẩm mỹ: bọc răng sứ, chữa đau răng, cạo vôi răng và tẩy trắng răng …
Thứ 2 – Thứ 7
– Sáng 08:00 – 12:00
– Chiều 14:00 – 20:00
Chủ Nhật: Nghỉ